导航 : EXPO21XX> Vision21XX> H15:研究大学萨格勒布大学
萨格勒布大学
  • 提供配置文件
  • 感兴趣的研究题目包括:
    • 图像处理分析
    • 生物医学图像分析
    • 计算机视觉汽车和交通/交通应用
    • 三维对象重构
    • 被动主动立体视觉和可视化技术
    • 虚拟现实
产品组合
  • 计算机视觉英才中心

  • 萨格勒布大学批准了由大学开发基金资助的项目“计算机视觉中心”。
    项目协调员讲义斯文龙卡中心成员为教授、助理教授和博士生,分布于大学四系(ZESOI、ZEMRIS、ZARI、ZRK)和另外六大合宪单位(机械工程学和海军架构学院、交通工程学院、图形艺术学院、Kinesio学学院、林业学院和大地测量学院)。
    项目的主要目标是建立国际公认的英才中心,以更好地整合大学各立宪单元计算机视觉领域的研究人员最重要的项目任务旨在建立中心组织,推广中心,支持中心成员与世界其他类似中心建立接触,实现与业界更紧密的合作并促成技术转移,并面向建立研究研讨会和中心年度讲习班
      • 视网膜图像诊断

      • 项目处理广度医学条件,即糖尿病视网膜病糖尿病视网膜血管受损糖尿病视网膜病原型失明患1型和2型糖尿病者患此病的风险更大长段从重糖尿病中受苦增加复元机率
        项目的目标是开发图像处理分析方法,以计算机解读视像摄影获取的图像量化图像分析的目标是检测病人视网膜照片显示正常视网膜或视网膜受糖尿病视网膜影实现此目标的方法是识别视网膜上的相关结构,包括血管树、fivea和盲点项目第二阶段的目标是量化该疾病的进展
      • 自动化视觉检验

      • 视觉检验和质量控制是现代生产线的必要组件高容量视觉检验必须完全自动化并融入生产线
        项目的目的是开发定制图像处理算法和全视觉检验系统,可用于改善Elektro-kontakt制造厂的制造过程
      • 单轮自平衡车辆

      • 项目的目的是开发个人自平衡单轮车,满足这些需求:小维度、质量和能耗,并有可能从正规网络端口或可再生能源充电电池调适算法和数字信号处理允许驱动没有学习周期的车辆
        开工锂-ferro磷酸电池
        二叉传感器系统倾斜检测实现电子印制电路板加加速度计
        陀螺仪
        3级处理器-中央计算机系统处理从
        传感器
        4级方向盘中心装电机
      • panoVRama-多投影机平铺系统

      • 多维数据集在许多人类活动领域很重要,如生物医学图象和体积序列采集、工业过程控制、气象学和农业遥感等三维可视化为解析、分析、理解复杂现象提供工具,并成为虚拟现实模拟基础
        项目的目标是使用多投影机实现瓦化可视化系统系统由九支瓦化投影机组成,为虚拟环境沉浸提供更好的感知项目中研究了若干重要问题,例如两个或多个投影机重叠区亮度校正问题、投影机间色差均衡校正问题、多投影机几何摄像标题和多计算机同步问题开发分布式Linux客户端服务器系统,向多视频投影机分发全景图像和视频内容
      • 实时图像处理汽车全景视觉化

      • 项目解决汽车产业对高级驱动辅助系统新需求系统使驱动者能看到车辆周全并起标准车辆和专用车辆停车辅助作用系统由多摄像头组成,安装在车辆上并定制FPGA处理单元实时获取、处理和可视化摄像头装有鱼眼透镜并有180度以上视图场摄像头图像透视校正、透视校正和缝合以从车辆上方取景点创建视图
        项目第二个目标是开发实时图像处理和计算机视觉方法,适合FPGA硬件平台和自动相机标定和多相机系统标定软件实施FPGA平台约束和约束对图像处理方法的实现构成极大挑战
        项目第三个目标是开发摄像头动态标定法和软件,这是因可变车辆载荷调整相机标定参数所必备的方法使用FPGA硬件实施,帮助实现车辆周遭高品质可视化,而不论车辆内人数或负载第四目标通过投送陆平面投入碗状表面获取替代可视化所生成可视化的优缺点是场景的远端显示方式使场景细节显示得更好
      • 实时引导线跟踪使用C-Arm成像设备

      • 可视化跟踪移动对象是计算机视觉领域重要的开放问题之一因问题复杂性而非通用性,只考虑定义清晰应用的解决方案生物医学领域视觉跟踪常以传输或投影获取模型为基础,使现有程序不适用,因为与常用获取模型不相容利用专门适应获取模型的方法可以取得更好的结果。
        最小入侵内向干预是外科手术的好例子,如果没有适当的成像设备是不可能实现的。此类干预是各种血管疾病的优先处理法干预外科器械,如导线导管都引入血管系统,并必须导航到感兴趣的点,通常是病理学医学成像链的任务是向外科医生提供成功导航所需的最佳信息
        项目的目的是开发实时功能系统,跟踪二维图像序列向导线和发现三维空间向导线回溯项目
      • 自动化可视化产品检验

      • 机器视觉系统的主要任务就是从单图像或整数组图像中提供可理解对象描述问题之一是自动化视觉产品检验自动化视觉检查系统必须发现并分类产品图像中可能的缺陷,并应当相当快和强健自动化系统替换人检验程序需要这些需求,而人检验程序有许多缺陷,主要原因是疲劳和慢化(现代生产方法通常便于生产速度人无法应付)。本研究项目的主要目的是开发缺陷检测算法和分类法并开发全原型系统
      • 功能X射线神经图像分析

      • 量化功能测量可显著提高X射线动画诊断值数项不同功能参数三具有临床重要性:流速、溢出和扩散X射线成像只能提供前两个参数,其中溢出成像由于数大色素参数而更重要:脑血量(CBV)、脑血流(CBF)和平均传递时间(MTT)。
        这个项目的主要目的是利用X射线成像的良好特征并开发功能分析技术,帮助研究已知病理学相关人物理特征
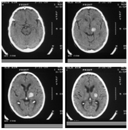
      • 3D递归脑出血量化

      • 计算断层摄影允许三维解剖成像脑异常,如人自发后脑出血使用计算机图像分析,对选定兴趣量的病理学定性是可行的拟议的研究侧重于三维量化分析研究ICH早期演化基础假设ICH量和结构与死亡率和发病率相关拥有ICH的病人四次扫描:3小时后发症,1小时后发症,8小时后发症,20小时后发候发症疾病过程期间,可观察分析ICH体积和结构三维变化重要ICH特征为体积、空间定位和主水深和水深区域形状初步研究表明ICH体积对病人生存意义重大空间位置必须用不变三维坐标系测量,这样ICH横跨扫描运动才能确定实现不变性需要从两次扫描中执行脑CT图像注册最近开发出迭代主Axes注册算法 注册三维多模式脑图像并开发三维空间加权区域增长算法 并适应聚类分割ICH区域最后,形状特征将计算成ICH进化与死亡率和发病率相关联此外,ICH特征行为可与病人对医疗响应相关联,目的是评价疾病过程早期的治疗期望拟议的研究能提供计算机化系统分析ICH,通过ICH体积和结构在疾病过程的特征变化分析ICH
      • 医疗远程咨询

      • 在农村地区提供保健服务证明是一项挑战性任务。人口密度低使得保健机构不自存性,因此农村地区通常只有带全科医生的小救护车可用。在这种情况下,最大问题之一是缺少医疗专家。
        使用电子通讯方式可大大改善上述地区的保健服务。近些年来互联网快速开发使得包括远程医疗在内的新医疗应用成为可能远程医疗帮助连接农村地区与大型医疗中心,
        虚拟多科医院网络系统为农村地区全科医生与大型医疗中心专家交换医疗信息提供工具

      • Cadiac多普勒超声波图像处理分析

      • 心跳超声图像分析是诊断心脏病的一个重要工具实验项目假设多普勒超声波异常流速剖面项目的目标是开发信号和图像分析方法,从DICOM多普勒超声波图像提取相关架构和特征,用于统计分析更多病人异常流出剖面

      • EEG信号分析PTSP

      • 电文学信号分析标准程序 检测与脑功能有关的多类问题EEG测量脑中空间定位电活动,测量头部电极间电位差图形显示电源随时间变化被称为电脑图,医生使用这些信号或波模式检测各种故障可检测性失序表现为偏差波模式,某些医学条件产生不同类型的偏差除视觉评价EEG信号外,计算机数字信号分析处理技术也可以使用此类技术为自动快速可靠检测异常EEG模式及其量化分析提供手段。
        研究项目总目标是区分PTSP异常型和非攻击型变异EEG信号中的重要特征,可用以区别PTSP两种变异并构建检测与辨别算法研究工作面向时间频域特征波模式分析中心焦点使用波子变换及其各种变换评估测试拟开发方法时,将使用实际病人EEG信号执行
      • 智能图像处理分析法

      • 图像分析与场景判别复杂任务需要了解场景中的物体及其相互关系常规图像分析方法以相对简单技术为基础,这些技术只使用从像素强度值中获取的低级信息这些做法的主要局限是缺乏高级知识。
        项目的目标是开发智能知识方法以探测、识别和跟踪对象并稳健和精确性拟方法使用低高知识进行场景判读实现此目标时,我们将使用基于知识技术,如基于3D模型方法、神经网络、演化算法、专家系统、智能代理等,并应用开发技术处理医学、脸部和范围图像分析问题
      • 检测植物应用

      • 研究项目的目标是开发图像分析法以探测和识别铁路轨迹旁的植被图像分析取自火车上安装的监控铁路轨迹近旁的摄像头检测植被以颜色信息为基础,而识别不同类型植被则以纹理特征为基础检测目标是识别覆盖植被的图像区域识别法必须区分所检测到的带窄带宽带植被设计方法是为了实时操作良好的照明条件
      • 虚拟生理人网优

      • VPH英才网络旨在培养、协调并整合泛欧研究领域:
        开工个人化预测保健计算机模型
        二叉基于CT工具模拟人生理学和与疾病相关过程
      • 面像分析生物度应用

      • 现代生物特征护照包含不同的生物特征数据, 但它们都包含身份证照片照片面向自动面部识别验证,需要图像质量足以支持识别方法质量水平通过检验若干预定义需求估计,ID图像必须满足这些需求(由国际民航组织标准定义)。除人工操作器外,图像测试可在一定程度上自动完成简单化的要求很容易自动实现,但比较复杂的测试需要了解场面组成适当区域识别ID照片后很容易检查复杂质量要求复杂需求实例有:不双目、面部维度比图像维度、不红眼等难点是在ID照片中查找对象
        项目的目标是分段输入五大常用区域最重要的问题出自分片对质量检验的近似性,因此帽子对低质量图像表现良好(差质量随后检测出)。难点问题需要大量使用先知问题数种知识型方法已经尝试过:专家系统、神经网络、推推分类器、图裁等训练学习基础方法图象数据库已经建立,仔细选择图象,以包括ID图象中所有可能的变异项目最后结果为原型软件应用
      • COST动作B21-MR图像编程生理建模

      • 自八十年代中叶引入以来,医学磁共振成像使用量增长壮大到当前位置,全美、欧美和日美都广泛使用为初级诊断成像模式Young(1990年)称MRI为'可能最强Vivo诊断工具极有机会通过充分利用MRI实验中所有量化图像信息进一步提高使用率和有效性,本Act试图利用这些可能性,汇总这些数据以完全原创方式解释组织结构与生理学,如第3页所描述的那样
        目前的生物医学研究(如药物开发、基因组学或许多自然和病理过程机制调查,如老化、癌症或多分解)和临床诊断越来越强烈地依赖提供静脉层次局部形态学或生理过程的动态信息过去几年中,细胞成像技术开发引入了克服某些底层问题的可能性,并创建新创新方法深入了解生物机机的功能
        行动将利用CST行动B11-NCR和MRI测量及其他辅助图像信息与组织结构功能连接这一基本问题中心还努力充分利用B11期间开发的超强工作伙伴关系的有效性